Mesothelioma radiology uses imaging tests like X-rays, CT, PET and MRI scans to detect, stage and monitor tumors. Interventional radiology uses imaging to guide treatment procedures such as tumor ablation, which destroys cancer tissue with targeted heat in a minimally invasive way.
Diagnosed with mesothelioma? Get a free guide to learn about the latest treatment options.
Access information on top mesothelioma treatments.
Radiology plays a critical role in detecting and diagnosing mesothelioma through imaging tests that show tumors, fluid buildup and cancer spread. Doctors typically start with a chest X-ray to identify abnormalities like fluid around the lungs or unusual shadows. X-rays provide a basic 2D image that helps determine whether additional testing is necessary.
Key Facts About Mesothelioma Radiology
X-rays provide a 2D image that can show tumors, fluid buildup and other signs of disease.
CT scans use a machine that takes many X-rays to produce 3D images of cross-sections of the body.
PET/CT uses a CT scan taken after injecting a radioactive dye into the bloodstream to find cancer cells in the body.
MRI (less common for mesothelioma patients) uses a strong magnetic field to produce a 3D image of soft tissues in the body.
CT and PET scans are mainstays for staging mesothelioma. CT scans create detailed 3D images showing tumor location, size and whether mesothelioma has spread to lymph nodes or other organs. PET scans combine CT imaging with a small amount of radioactive tracer to highlight active cancer cells throughout the body, helping doctors stage mesothelioma and track how well treatment is working. Doctors may also order a chest MRI, which uses strong magnets to create high-resolution images of soft tissues, as an extra test to help assess diaphragm involvement for staging purposes, though this is less common.
Imaging also guides biopsies, which remain essential for diagnosis. While radiology can identify suspicious areas and provide crucial staging information, only a biopsy can definitively confirm a diagnosis of mesothelioma. These imaging approaches work together to create a complete picture that guides diagnosis and treatment planning.
Survivor Experience
“I believe we all have scanxiety in the beginning. One thing I came to realize was that it was to be expected. We had never been in that type of situation before and we didn’t know what to think.”
Imaging scans can identify all 4 types of mesothelioma: Pleural, peritoneal, pericardial and testicular. However, some types of imaging scans are better suited than others for visualizing mesothelioma in different locations in the body.
Imaging for Different Types of Mesothelioma
Peritoneal and testicular mesothelioma: Chest X-rays can detect tumors and fluid buildup around the lungs and heart. CT scans provide more detailed cross-sectional images for staging.
Pleural and pericardial mesothelioma: X-rays are less effective for soft tissue areas. CT scans are the primary tool for detecting abdominal tumors, while ultrasound is commonly used to examine the testicles.
CT scans remain the primary imaging tool across all mesothelioma types because they provide detailed views of tumor location and spread. These scans can show abnormalities throughout the body, from the chest to the abdomen, making them essential for both initial detection and ongoing monitoring.
The most versatile imaging technique for mesothelioma diagnosis is PET/CT imaging. It can detect very small tumors anywhere in the body and can be used to help diagnose every type of mesothelioma. However, PET scans are very expensive and aren’t available everywhere.
Expert Take
Dr. Jacques Fontaine: Current Mesothelioma Treatment Options
Current treatment for mesothelioma can really be broken down into three categories.
One would be chemotherapy or systemic therapy, and now there’s a lot of new options in terms of systemic therapy. It used to be that we only had chemotherapy as part of systemic therapy, but now we have immunotherapy, we have targeted therapy. A second option is radiation, And the third option is surgery, whether the surgery is palliative to remove the fluid, decrease the likelihood that the fluid comes back so that patients can have their lungs expand and feel better and have less difficulty breathing. So those are the three treatment options: systemic therapy, radiation, and surgery.
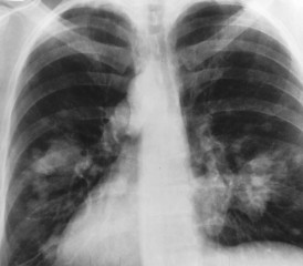
What Does Mesothelioma Look Like on an X-Ray?
Lighter and hazy areas on the X-ray show possible mesothelioma tumors.
On a chest X-ray, pleural or pericardial mesothelioma tumors appear as wispy white areas around the lungs, while calcified tumors appear bright white. Bones appear white and healthy lungs are dark. Most abnormalities appear as lighter areas that are hazy or solid.
Large fluid buildup called pleural effusions, a common mesothelioma symptom, can make an entire lung field look “cloudy” or even completely white on an X-ray. Tumors and scarring may distort chest anatomy. Compressed lungs or a raised diaphragm can be visible on an X-ray.
X-rays are 2D, making it hard to determine if a tumor is in the lung, pleura or the mediastinum around the heart. Additionally, X-rays don’t clearly show peritoneal or testicular mesothelioma. CT, MRI and PET/CT scans offer more detailed images for all mesothelioma types.
500+ SPECIALISTS AVAILABLE
Get to the Right Doctor, Faster
Connect with top-rated doctors specializing in mesothelioma treatment, who will personalize treatment options based on your diagnosis.
Radiologists use imaging to guide procedures that diagnose and treat mesothelioma. With real-time ultrasound or CT, doctors can direct needles and instruments to tumors deep in the body without open surgery.
These image-guided procedures require smaller incisions and often lead to faster recovery with fewer complications. This matters especially for patients who are older or not strong enough for major surgery.
Radiology-Guided Procedures for Mesothelioma
Ablation: Using CT or ultrasound, a needle-like probe is precisely placed into tumors. Small tumors can be destroyed with heat, cold, lasers, microwaves or radio waves.
Biopsy: Fine-needle biopsies collect tissue samples from tumors. Doctors use ultrasound or CT to precisely place a needle into a tumor to collect a tissue sample.
Catheter placement: CT scanning can guide the placement of a catheter or port for drug infusions or chemotherapy injected directly into the blood vessels feeding a tumor (transarterial chemoperfusion).
Drainage: Fluid around the heart or other hard-to-reach areas can be drained using a precisely placed needle. CT or ultrasound is necessary to guide the needle when tumors and scarring distort the normal anatomy.
These procedures carry lower risks than open surgery, with faster recovery times and the option to repeat them if symptoms return. While there are some risks like bleeding or infection, they remain much safer than invasive surgery. This makes them especially valuable for patients who can’t undergo major operations. Some tumors may still require chemo, immunotherapy or surgery if they’re too large or difficult to reach.
One of the most exciting advances in interventional radiology treatments for mesothelioma is transarterial chemoperfusion. This procedure uses CT-guided placement of needles to deliver chemotherapy drugs directly into the arteries that are providing blood to a tumor. This allows the chemotherapy drugs to attack the cancer while minimizing unwanted side effects.
Expert Insight
“We were pleasantly surprised to find that [transarterial chemoperfusion] doesn’t come with the same side effects of traditional intravenous chemotherapy. To see these promising results with so few side effects means we are able to make a positive impact on quality of life for these patients.”
Dr. Bela Kis, interventional radiologist at Moffitt Cancer Center
How Interventional Radiology Treats Mesothelioma
Interventional radiologists insert thin needles, catheters or probes through small incisions while watching their placement on a screen in real time. They use imaging like ultrasound and CT scans to guide these tools inside your body.
For tumor ablation, for example, they guide a probe directly into the tumor and apply heat to destroy cancer cells. The precise, image-guided approach of interventional radiology works well for small or deep tumors, including those near vital organs. Traditional surgery can be too risky in these locations, making interventional radiology a valuable alternative for many patients.
While interventional radiology differs from radiation therapy, which uses high-energy beams to kill cancer cells, it can also be used to deliver targeted radiation. Interventional radiologists place radioactive markers for external beam therapy, using image guidance to direct radiation to tumors with precision. This often allows higher doses to reach the tumor with fewer side effects to surrounding tissue.
Recommended Reading
Your web browser is no longer supported by Microsoft. Update your browser for more security, speed and compatibility.
If you are looking for mesothelioma support, please contact our Patient Advocates at (855) 404-4592
Fact Checked
Our fact-checking process begins with a thorough review of all sources to ensure they are high quality. Then we cross-check the facts with original medical or scientific reports published by those sources, or we validate the facts with reputable news organizations, medical and scientific experts and other health experts. Each page includes all sources for full transparency.
Reviewed
Asbestos.com is the nation’s most trusted mesothelioma resource
The Mesothelioma Center at Asbestos.com has provided patients and their loved ones the most updated and reliable information on mesothelioma and asbestos exposure since 2006.
Our team of Patient Advocates includes a medical doctor, a registered nurse, health services administrators, veterans, VA-accredited Claims Agents, an oncology patient navigator and hospice care expert. Their combined expertise means we help any mesothelioma patient or loved one through every step of their cancer journey.
More than 30 contributors, including mesothelioma doctors, survivors, health care professionals and other experts, have peer-reviewed our website and written unique research-driven articles to ensure you get the highest-quality medical and health information.
About The Mesothelioma Center at Asbestos.com
Assisting mesothelioma patients and their loved ones since 2006.
Helps more than 50% of mesothelioma patients diagnosed annually in the U.S.
A+ rating from the Better Business Bureau.
5-star reviewed mesothelioma and support organization.
My family has only the highest compliment for the assistance and support that we received from The Mesothelioma Center. This is a staff of compassionate and knowledgeable individuals who respect what your family is experiencing and who go the extra mile to make an unfortunate diagnosis less stressful. Information and assistance were provided by The Mesothelioma Center at no cost to our family.
Kristopher Bunting, M.D., is a researcher and medical author who formerly served as a medical director for the U.S. Army and as research fellow at Augusta University. His research has focused on PTSD, memory and learning in behavioral and molecular neuroscience.
Fact-checked and verified content:
Our fact-checking process begins with a thorough review of all sources to ensure they are high quality. Then we cross-check the facts with original medical or scientific reports published by those sources, or we validate the facts with reputable news organizations, medical and scientific experts and other health experts. Each page includes all sources for full transparency.
Please read our editorial guidelines to learn more about our content creation and review process.