Cancer remains the illness most feared in the United States. Most Americans say cancer technology advancements are key to lowering incidence rates, improving life…
The Mesothelioma Center at Asbestos.com is the nation's most trusted mesothelioma resource. We work with local, regional and national journalists and other members of the news media to provide on-the-record information about mesothelioma, asbestos-related diseases, cancer topics and asbestos exposure.
Are you on a tight deadline? For immediate help, email
Managing Editor Walter Pacheco
Notable media outlets that have featured expert sources from The Mesothelioma Center at Asbestos.com include The New York Times, Fox News, Healthline, The Hill and more. Our highly regarded in-house specialists are sought after by national news sites and publications for their comprehensive knowledge of mesothelioma and asbestos-related topics. Their expertise has also been featured in a number of peer-reviewed studies.
Since 2006, The Mesothelioma Center has been raising awareness about mesothelioma and the dangers of asbestos exposure.
The Mesothelioma Center has a multidisciplinary team of experts who have spent years researching mesothelioma, asbestos-related diseases and other relevant topics. These experts are an invaluable source of information on the latest breakthroughs in mesothelioma treatments and clinical trials, asbestos litigation, veterans outreach, nutrition and more.
For information on:
For information on:
For information on:
For information on:
For information on:
For information on:
For information on:
We also have a group of professional contributors who are surgeons, oncologists, nutritionists, mental health professionals and others who may serve as possible sources for journalists.
Asbestos.com has a rich collection of articles, graphics, videos and illustrations that are available for use by the media. We ask that you attribute the information to The Mesothelioma Center at Asbestos.com. If possible, please link to Asbestos.com or the relevant web page.
Permission to use our resources is granted on a case-by-case basis. Contact Managing Editor Walter Pacheco for all permissions.
Cancer remains the illness most feared in the United States. Most Americans say cancer technology advancements are key to lowering incidence rates, improving life…
Seniors are living longer and having to face more challenges than before. A healthy lifestyle can help you deal with aging, protect you from…
Older adults with cancer and chronic illness have the highest risk for developing severe complications from COVID-19. Knowing how to prepare and protect…
Life-saving surgeries and the latest therapies are helping extend the lives of cancer patients — but only those who can afford them.
Natural disasters such as wildfires, hurricanes, floods and tornadoes can damage asbestos-containing materials and lead to asbestos exposure among first responders, cleanup crews…
Why Is Asbestos in Schools Dangerous? Many older U.S. schools contain legacy asbestos in building materials. When these materials get damaged or wear down,…
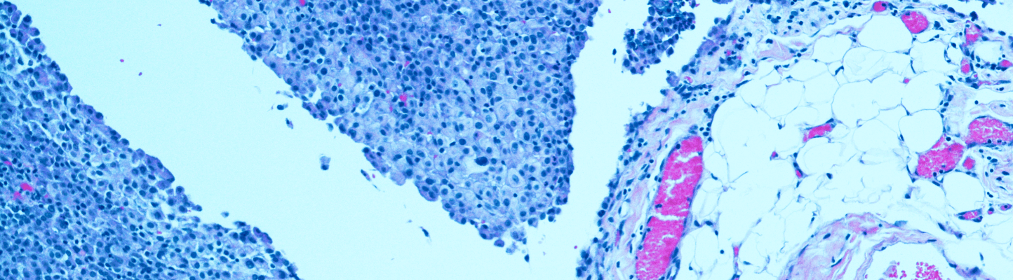
Historically, mesothelioma is a cancer that mostly affects older men who were exposed to asbestos while serving in the military or working certain blue-collar jobs. But the gender gap is closing as mesothelioma incidence rates among women are on the rise. Women now comprise nearly one-fourth of all cases.
The U.S. government never warned servicemen who fought for America about the deadly long-term effects of asbestos exposure in the military. Now, a broken VA health care system fails them a second time by abandoning veterans dying of mesothelioma.
Editor’s Note: This story was originally published in 2023 and has since been updated to reflect new data from our 2025 survey. In this…
The editorial mission of Asbestos.com is to bring you the most reliable, trustworthy and accurate information about mesothelioma, asbestos and asbestos-related illnesses. Our goal is to ensure that Asbestos.com is your go-to resource for relevant, high-quality and authoritative information about mesothelioma.
Your web browser is no longer supported by Microsoft. Update your browser for more security, speed and compatibility.
If you are looking for mesothelioma support, please contact our Patient Advocates at (855) 404-4592
Our fact-checking process begins with a thorough review of all sources to ensure they are high quality. Then we cross-check the facts with original medical or scientific reports published by those sources, or we validate the facts with reputable news organizations, medical and scientific experts and other health experts. Each page includes all sources for full transparency.
Please read our editorial guidelines to learn more about our content creation and review process.