How Can Imaging Scans Help Diagnose Mesothelioma?

Mesothelioma imaging scans help doctors spot tumors, fluid and scarring that point to cancer. Because early mesothelioma can be hard to see and symptoms overlap with other diseases, scans are often the first step to confirm a concern and decide what test should come next.

Imaging Scans for Diagnosing Mesothelioma

  • CT scan: Shows detailed cross-section pictures to find tumors, map spread and guide biopsies.
  • MRI: Highlights soft tissues like chest wall, diaphragm and blood vessels to define local invasion.
  • PET scan: Lights up active cancer areas and helps stage disease and monitor response.
  • X-ray: A quick look for red flags like pleural effusions or thickening that warrant advanced imaging.

These tools work best together. Your specialist will choose the right scan based on where your symptoms are, your exposure history and what the care team needs to decide next.

Carla Fasolo first noticed mild back pain that quickly escalated to severe discomfort. An emergency X-ray revealed a large tumor in her chest, followed by a CT scan and biopsy that confirmed mesothelioma. Carla’s experience shows how imaging and pathology work together to detect mesothelioma early and guide treatment decisions.

Why Is Radiology Essential for Diagnosing Mesothelioma?

Mesothelioma radiology adds expert eyes to complex pictures. Radiologists trained in asbestos diseases can catch subtle signs, rule out look-alike problems such as pneumonia, and flag the safest spot for a biopsy. Their reports guide staging and treatment plans, and they partner closely with surgeons, medical oncologists and pulmonologists throughout care.

Imaging scans are also used for mesothelioma staging. Accurate staging requires determining the tumor’s size and location, whether lymph nodes are involved and if cancer cells have spread to other parts of the body.

Mesothelioma X-Ray Scans

X-rays are mesothelioma imaging scans that offer a fast, low-dose way to look for problems in the chest. Doctors use them to spot fluid around the lungs, areas of unusual thickening or a collapsed lung that may signal pleural disease.

How X-Ray Scans Work

  1. You stand or lie down in front of a flat detector and hold your breath for a few seconds.
  2. The machine sends a brief, low-dose X-ray beam through your chest. 
  3. Bone blocks more of the beam, while air in the lungs lets it pass.
  4. The detector catches this pattern and a computer turns it into a chest picture.
  5. On the image, bone looks white, air looks black and fluid or thick tissue looks gray.

Doctors check for warning signs linked to mesothelioma, like pleural effusion, pleural thickening, or a partly collapsed lung. X-rays can miss small or early tumors, and they do not diagnose cancer alone. If your X-ray raises concern, your doctor will order advanced scans and, if needed, a biopsy to be sure.

Michael Cole, a survivor of pleural mesothelioma, shares his X-ray story with us. A cough and lack of energy sent him to his doctor. Michael says, “They listened to my chest, took an X-ray and told me to go straight to the hospital. They quickly drained 2 liters of foul-looking fluid out of my right lung.” He was diagnosed with mesothelioma 4 days later.

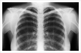
What Does Mesothelioma Look Like on an X-Ray?

Digital chest x-ray of advanced malignant mesothelioma on left.

On a chest X-ray, pleural or pericardial mesothelioma tumors appear as wispy white areas around the lungs, while calcified tumors appear bright white. Bones appear white and healthy lungs are dark. Most abnormalities appear as lighter areas that are hazy or solid. 

Tumors and scarring may distort chest anatomy. Compressed lungs or a raised diaphragm can be visible on an X-ray.

X-rays are 2D, making it hard to determine if a tumor is in the lung, pleura or the mediastinum around the heart. Additionally, X-rays don’t clearly show peritoneal or testicular mesothelioma. CT, MRI and PET/CT scans offer more detailed images for all mesothelioma types.

500+ SPECIALISTS AVAILABLE
Get to the Right Mesothelioma Cancer Center, Faster

Connect with top-rated mesothelioma specialists at a cancer center near you, who will personalize treatment options based on your diagnosis.

Find Your Center

Mesothelioma CT Scans

Computed tomography scans are mesothelioma imaging scans that create clear, layered images that show tumors, lymph nodes and organ spread. These CT images help doctors diagnose mesothelioma, stage the disease and pick the best treatment.

How CT Scans Work

  1. You lie on a narrow table that slides through a short, donut-shaped scanner. The scanner sends thin X-ray beams around your chest from many angles.
  2. Detectors measure the beams, and a computer builds “slice” pictures of your chest.
  3. You may get contrast dye through an IV so the pleura, vessels and lymph nodes show clearly.
  4. The technologist asks you to hold your breath for a few seconds to prevent blur.
  5. They watch you from a window and talk through an intercom the whole time.

The scan itself takes only a few minutes; the visit may take a little longer. A CT scan is painless, but it uses a small dose of radiation. CT can sometimes underestimate how far tumors invade nearby tissues, so your team may add MRI to define edges before surgery. PET/CT is also common to check for active cancer in other areas. 

Joey Barna is a pleural mesothelioma survivor. He spoke with us about his mesothelioma imaging scans. He shares, “I went to the hospital, and they thought I had pneumonia because they saw fluid on my lung. A week later I had a follow-up X-ray, and they saw that the fluid was still there. My primary doctor sent me for a CT scan. Fluid had built up and was pressing against my lung. It was preventing me from breathing properly.”

PET Scans

Positron emission tomography, or PET scans, is a type of mesothelioma imaging scan that tracks a small amount of tracer that collects in active cancer cells. Many centers combine this mesothelioma imaging scan with CT (PET/CT) to match hot spots to exact anatomy. 

For mesothelioma, PET/CT helps stage the disease, find hidden spread and measure how well treatment is working over time. A 2025 study in Neuroscience Informatics noted new patterns in PET/CT analysis that could soon improve the tracking of brain metastasis in mesothelioma. 

How PET Scans Work

  1. A small amount of sugar-like tracer is put into your vein through an IV.
  2. You rest quietly for about an hour while the tracer spreads through your body.
  3. You lie on a table that moves through a ring-shaped scanner.
  4. The scanner detects signals from the tracer where cells are very active.
  5. A computer turns those signals into pictures that show “hot spots.”

These scans can assess tumors’ sizes and locations. This provides vital information for treatment planning. Research suggests PET/CT scans may be better than CT and MRI for staging mesothelioma. They give key insights into the disease’s progression and outlook.

PET scans are also key for tracking treatment response. Doctors can compare PET scans over time. They show if cancer is responding to therapy, stable or progressing. It’s crucial for adjusting treatment. PET are expensive and there’s limited availability. However, scans remain a vital tool in managing mesothelioma.

Karen R.

Karen R.

Verified Asbestos.com Survivor

Mesothelioma Survivor First Diagnosed Thanks to Optional Scan

During a regular annual checkup, Karen R. chose to have an optional heart scan even though her insurance didn’t cover it. It detected fluid around her lungs that led to a pleural mesothelioma diagnosis. She tells us, “If I had not chosen to get this optional scan the cancer would have gone undetected for much longer.”

Karen R.

Verified Asbestos.com Survivor
Read Karen’s Story

MRI Scans

Magnetic resonance mesothelioma imaging scans, or MRI, use magnets (not radiation) to show soft tissues in great detail. For mesothelioma, MRI can better define how a tumor touches the chest wall, diaphragm or vessels, which matters for surgery planning. A 2025 study in JTCVS Open noted it detected chest wall infiltration with more than 80% greater sensitivity than CT.

MRI scans provide detailed images of soft tissues. These images are key for detecting, diagnosing and staging mesothelioma. MRI is good at identifying changes in soft tissue. MRIs can show how much a tumor has invaded nearby tissues and organs. This information is vital for staging the disease.

How MRI Scans Work

  1. You lie on a table that slides into a short tunnel-shaped magnet.
  2. The machine uses strong magnets and radio waves to make detailed pictures.
  3. You must hold very still, and you may hear loud thumping sounds. Ear protection and a call button are provided in case you need help.
  4. Sometimes an IV gives a contrast dye (gadolinium) to highlight tissues.
  5. The technologist talks to you through an intercom the whole time. The scan is painless and usually takes 20 to 45 minutes.

MRI isn’t needed for everyone, but it can be helpful when doctors must know a tumor’s exact edges. Your team may use MRI before surgery or to reassess after systemic therapy.

Newer MRI techniques have improved mesothelioma detection. They highlight small changes the magnetic field causes at the atomic level. These advanced imaging techniques provide additional detail. MRIs are invaluable for a complete assessment of the disease.

Imaging Scans by Mesothelioma Type

Because different mesothelioma types start in different locations, not all patients benefit from all scans. There is no “best” mesothelioma imaging scan. Instead, doctors have an array of tools to fit pieces together at the right time to answer the right question. 

CT and PET/CT are often used for whole-body imaging and staging. MRI and ultrasound are better for soft tissue and fluid details.

MRI Scan Graphic

MRI

MRI scans can help locate testicular mesothelioma tumors earlier than X-ray or CT scans.

PET Scan Graphic

PET

PET scans can find very small tumors. This makes them very useful in pleural mesothelioma diagnosis and staging.

 

Image of someone using a CT scan machine.

CT

CT scans can give doctors a more detailed look at pleural and peritoneal mesothelioma tumors.

X-Ray scan of someone's chest.

X-Ray

X-ray scans can show abnormalities in the body, such as fluid buildup or masses.

Pleural Mesothelioma

For pleural mesothelioma, an X-ray is a quick first look at pleural effusion or pneumothorax. The primary test is a CT chest with contrast to observe pleural thickening, nodules and effusions. Ultrasound enables safe thoracentesis when assessing for fluid. Each of these scans flags signs of the disease and guides to the best site for biopsy.

To see tumors better, contrast CT highlights the pleural “rind” & lymphatics. PET/CT helps in staging, illuminating areas of active cancer and metastasis potential within and beyond the chest. An MRI is advantageous if the surgical team needs to know if a tumor invades the chest wall, diaphragm or spine. 

Peritoneal Mesothelioma

For peritoneal mesothelioma, ultrasound can see ascites or fluid in the abdominal cavity and guide paracentesis. A CT of the abdomen/pelvis with contrast shows peritoneal thickening, omental caking and involvement with adjacent organs. These images guide treatment options and determine where biopsies should occur. 

For visualization of tumors, a CT is still the gold standard since it assesses the abdomen rapidly, while an MRI, with specific diffusion sequences, can show smaller masses along the liver surface, within the spleen and in peritoneal folds. A PET-CT might help see disease outside the abdomen, though small serosal lesions may be more difficult to assess. 

Pericardial and Testicular Mesothelioma

For pericardial mesothelioma, an echocardiogram is the quickest way to see if there is fluid around the heart and its influence on cardiac output. When pericardial thickening or a mass is suspected, either CT or MRI can confirm. Together, these findings best indicate if immediate drainage is needed and where, and rule out other causes of chest pain.

For visualization of pericardial tumors, cardiac MRI distinguishes the heart lining and reveals tumor extent. PET/CT helps stage outside the heart and into the lymphatics. For testicular mesothelioma, scrotal ultrasound is the first step to see if there’s a hydrocele or mass. Then, a CT and usually an MRI assess the spread to the abdominal or thoracic cavities.

What to Expect During a Mesothelioma Scan

When you arrive for your mesothelioma imaging scan, the technologists will guide you. They’ll explain the process and answer your questions. It can also help to talk with your doctor beforehand. They can help prepare you for what to expect in advance.

There are similarities in the process for each imaging type. You’ll need to lie flat on your back for most mesothelioma imaging. X-rays may involve standing or other positions. Staying very still is crucial for precise imaging. If you have limited mobility or pain, let the imaging team know. They can help ensure your comfort.

Mesothelioma Imaging Scan Processes

  • Communication: CT and PET techs will talk to you via a speaker. For an MRI, headphones cancel noise and allow communication. Techs may tell you to hold your breath briefly.
  • Contrast dye: For CTs and MRIs you may be given a contrast dye orally or intravenously. This enhances image visibility.
  • Duration: A CT scan typically only takes about 10 minutes. PET scans and MRIs can take 30 to 90 minutes.
  • Radioactive tracer: For PET scans, you’ll have an IV infusion of a radioactive tracer an hour before your scan.
  • Results: MRI, CT scan or PET scan results are usually available within a couple of days. A radiologist will write a report that your doctor will discuss with you. 

An MRI scan is similar to a CT, but it’s very loud. Metal coils in the scanner make booming and banging noises. People wear headphones throughout the scan. Also, the MRI scanner is more enclosed, which can cause anxiety. You will have a distress button to press if you need to stop the scan.

Before an MRI, tell your doctor and the technicians if you have any metal in your body. This includes surgical implants, pacemakers or shrapnel. An MRI’s strong magnetic field can affect metal objects. This could cause serious complications.

Monitoring Mesothelioma Treatment With Imaging Scans

Many patients often undergo multiple mesothelioma imaging scans. Images are taken during diagnosis and staging. These images help to decide the proper treatment for that person. It’s also essential to do imaging scans for mesothelioma after treatment. They can help track remission and recurrence.

Survivor Tamron Little shares her scan experiences with us. She says, “The frequency of scans can depend on the patient and their progression. Before I had HIPEC surgery, I had a lot of preliminary scans.”

She adds, “After my surgery I had a follow-up CT scan a couple of weeks later. Then, after my doctor saw I was doing well with no cancer being found, it was 1 every 6 months. Then it was every 18 months up until the 5-year mark.”

Kevin Hession, a pleural survivor, says scans can pick up surgery’s effects. He tells us, “There is a lot of scar tissue around my left lung where they did a lot of work. Looking at it from the CT scans, you can see the scar tissue and it kind of surrounds the left lung.”

Common Questions About Mesothelioma Imaging Scans

Does asbestos show up on a CT scan?

No, asbestos fibers are microscopic. They aren’t visible on imaging scans. A high-powered microscope can see asbestos fibers in a biopsy. The presence of these fibers can help confirm a diagnosis of an asbestos-related disease.

What are the risks or side effects of mesothelioma imaging scans?

X-rays and CT scans use radiation. The exposure from X-rays is considered minimal and safe. CT scans involve significantly more radiation. Repeat CTs are avoided for this reason.

People who receive contrast dye during a CT or MRI may have an allergic reaction. Some people also experience nausea.

Though rare, some people can be allergic to the radioactive tracer in a PET scan. It also involves exposure to radiation. These scans aren’t usually recommended for those who are pregnant.

An MRI might cause temporary effects from the magnetic field. These include dizziness, nausea, a metallic taste or brief flashes of light.

Can ultrasound detect mesothelioma?

Ultrasound can be part of a mesothelioma diagnosis. But its use isn’t common. Soundwaves create its images. These soundwaves don’t travel well through air. So, it is hard to get good images in the chest cavity and abdomen.

While ultrasound’s images aren’t as detailed as CT scans or MRIs, they can be used to look at fluid buildup. Echocardiogram, for example, is a type of ultrasound. Doctors may use it if there’s fluid around the heart. This can help indicate an issue such as pericardial mesothelioma.

Recommended Reading