Get answers about treatment, top doctors, and financial support from the nation’s most trusted mesothelioma resource.
Get Your Free GuideBiphasic mesothelioma is a rare form of mesothelioma, an aggressive asbestos-related cancer. Biphasic tumors contain both epithelioid and sarcomatoid cells, which is why doctors also call this subtype mixed mesothelioma.
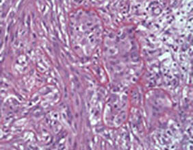
Biphasic mesothelioma gets its name from the mix of two distinct cell types found in tumors: epithelioid and sarcomatoid. Pathologists identify these cells when they examine tissue samples under a microscope during a biopsy. This combination makes biphasic mesothelioma harder to treat than subtypes with just one cell type.
The presence of both cell types makes biphasic mesothelioma more complex than the other subtypes. The amount of epithelial versus sarcomatoid cells you have can affect your prognosis. Having more epithelioid than sarcomatoid cells usually leads to better outcomes.
Biphasic Mesothelioma Key Facts
Because biphasic tumors contain two cell types with different behaviors, treatment response can vary significantly from person to person. A personalized treatment plan helps doctors address both cell types and improve outcomes.
Asbestos exposure is the only known cause of biphasic mesothelioma. When a person inhales or ingests asbestos fibers, the fibers can become lodged in the lining of the lungs or abdomen. Over time, these fibers cause chronic irritation and inflammation that can trigger cancerous cell mutations.
Symptoms of biphasic mesothelioma include dry cough, shortness of breath and fatigue. These symptoms vary depending on where tumors have developed in the body.
Common Symptoms of Biphasic Mesothelioma
Research also indicates people with more sarcomatoid cells may experience more severe and frequent symptoms. The cancer progresses faster and is more likely to recur with this subtype.
Early symptoms for biphasic mesothelioma are often vague and resemble less severe conditions, which can delay diagnosis. This delay is why it’s crucial to recognize mesothelioma symptoms early for better treatment outcomes.
Get answers about treatment, top doctors, and financial support from the nation’s most trusted mesothelioma resource.
Get Your Free GuideAccurately diagnosing biphasic mesothelioma requires a combination of imaging tests, biopsies and pathology evaluations. Because its symptoms overlap with those of other conditions, misdiagnosis can occur without a thorough assessment.
Biphasic Mesothelioma Diagnostic Steps
Dr. Andrea Wolf, director of the New York Mesothelioma Program at Mt. Sinai, tells us, “If more than 90% of one cell type is present, it’s termed ‘pure.’ For instance, having more than 90% epithelioid cells indicates epithelial type. If both types are represented, it’s biphasic or mixed.
”A case study in Cureus discussed a 34-year-old male who was initially misdiagnosed with peritoneal tuberculosis. After multiple CT scans and specialist pathology studies, he received an accurate diagnosis of biphasic peritoneal mesothelioma 5 weeks after his initial symptoms.
Treatment for biphasic mesothelioma depends on the ratio of epithelioid to sarcomatoid cells, the stage of the disease and overall health. Doctors most often recommend a multimodal approach that combines chemotherapy, immunotherapy and surgery to target both cell types.
Common Biphasic Treatment Options
Treating biphasic mesothelioma is difficult. However, new medical research is helping improve results. Anna Nowak, Ph.D., a renowned asbestos researcher, tells us Opdivo and Yervoy “can double survival” for people with sarcomatoid and biphasic mesothelioma.
A personalized treatment plan that accounts for your specific cell ratio, health and disease stage can lead to better care. A Patient Advocate can help you find a mesothelioma specialist with experience treating biphasic cases and connect you with the right treatment options.
People with biphasic mesothelioma live a median of 10 months after diagnosis, though outcomes vary depending on many factors. For example, a person’s overall health, the stage of the disease at diagnosis and the ratio of cell types all influence prognosis.
Sarcomatoid cells make this subtype harder to treat and can shorten survival. People with mostly epithelioid cells tend to live longer, and those who receive aggressive treatment early often see better outcomes than the median suggests.
| Cell Type Ratio | 1-Year Survival Rate | 3-Year Survival Rate | 5-Year Survival Rate |
|---|---|---|---|
| Mostly Epithelioid | 60% | 25% | 10% |
| Mixed | 45% | 15% | 5% |
| Mostly Sarcomatoid | 30% | 5% | <1% |
Connect with top-rated doctors specializing in mesothelioma treatment, who will personalize treatment options based on your diagnosis.
Find Your SpecialistAsbestos exposure is the leading cause of biphasic mesothelioma. When asbestos fibers are inhaled or ingested, they become lodged in organ linings. This can lead to chronic inflammation and cancerous mutations over time.
Early signs include shortness of breath, chest or abdominal pain, persistent cough and unexplained weight loss. Symptoms may be mild initially but worsen as the disease progresses. People with more sarcomatoid cells may experience more severe symptoms earlier, while those with more epithelioid cells often have milder initial symptoms.
Yes, biphasic mesothelioma is frequently misdiagnosed as lung cancer or other mesothelioma subtypes. A biopsy and pathology review are essential for accurate diagnosis.
Biphasic mesothelioma can take 20-60 years to develop after asbestos exposure. This long latency period makes early detection difficult, emphasizing the importance of regular health screenings for at-risk individuals.
People with biphasic mesothelioma live a median of 10 months after diagnosis. Survival varies significantly based on cell ratio. Those with mostly epithelioid cases have a 1-year survival rate of 60% compared to 30% for people with mostly sarcomatoid cells. Early-stage diagnosis and aggressive treatment can extend outcomes beyond the median.
The ratio of epithelioid to sarcomatoid cells directly influences how a person responds to treatment and how long they may live. Epithelioid cells respond better to treatment and grow more slowly, while sarcomatoid cells are more aggressive and harder to treat. A higher proportion of epithelioid cells generally means a better prognosis.
Yes, the terms are interchangeable. Both refer to tumors containing epithelioid as well as sarcomatoid cells. “Mixed mesothelioma” is the older term, while “biphasic” is the current clinical standard.
Epithelioid mesothelioma contains only epithelioid cells, grows more slowly and responds best to treatment. Sarcomatoid mesothelioma contains only sarcomatoid cells, grows more aggressively and is harder to treat. Biphasic mesothelioma contains both cell types and a person’s prognosis depends largely on which cell type dominates.
Your web browser is no longer supported by Microsoft. Update your browser for more security, speed and compatibility.
If you are looking for mesothelioma support, please contact our Patient Advocates at (855) 404-4592
The Mesothelioma Center at Asbestos.com has provided patients and their loved ones the most updated and reliable information on mesothelioma and asbestos exposure since 2006.
Our team of Patient Advocates includes a medical doctor, a registered nurse, health services administrators, veterans, VA-accredited Claims Agents, an oncology patient navigator and hospice care expert. Their combined expertise means we help any mesothelioma patient or loved one through every step of their cancer journey.
More than 30 contributors, including mesothelioma doctors, survivors, health care professionals and other experts, have peer-reviewed our website and written unique research-driven articles to ensure you get the highest-quality medical and health information.
My family has only the highest compliment for the assistance and support that we received from The Mesothelioma Center. This is a staff of compassionate and knowledgeable individuals who respect what your family is experiencing and who go the extra mile to make an unfortunate diagnosis less stressful. Information and assistance were provided by The Mesothelioma Center at no cost to our family.LashawnMesothelioma patient’s daughter
Selby, K. (2026, March 10). Biphasic Mesothelioma. Asbestos.com. Retrieved April 1, 2026, from https://www.asbestos.com/mesothelioma/malignant/biphasic/
Selby, Karen. "Biphasic Mesothelioma." Asbestos.com, 10 Mar 2026, https://www.asbestos.com/mesothelioma/malignant/biphasic/.
Selby, Karen. "Biphasic Mesothelioma." Asbestos.com. Last modified March 10, 2026. https://www.asbestos.com/mesothelioma/malignant/biphasic/.
Karen Selby is a registered nurse and Board Certified Patient Advocate at The Mesothelioma Center with more than 30 years of experience in oncology and thoracic surgery. She worked as an operating room nurse in thoracic surgery at the University of Maryland for 6 years, assisting with surgeries such as lung transplants, pneumonectomies and pleurectomies. She later served as regional director of the tissue procurement program at the University of Florida. Karen joined The Mesothelioma Center in 2009, providing patients with personalized support and resources.
Our fact-checking process begins with a thorough review of all sources to ensure they are high quality. Then we cross-check the facts with original medical or scientific reports published by those sources, or we validate the facts with reputable news organizations, medical and scientific experts and other health experts. Each page includes all sources for full transparency.
Please read our editorial guidelines to learn more about our content creation and review process.